Stomatologia ogólna

Implanty:
Trwałe rozwiązanie brakujących zębów

Odzyskaj pełną funkcję i pewność siebie dzięki implantom stomatologicznym

Implanty stomatologiczne to innowacyjne rozwiązanie, które pozwala na odbudowę brakujących zębów w sposób trwały i naturalny. W EmDent, oferujemy kompleksowe usługi implantologiczne, które przywracają pełną funkcję i estetykę. Korzystamy z najnowszych osiągnięć nauki i nowoczesnego sprzętu, aby zapewnić precyzyjne i skuteczne leczenie implantologiczne.

Uzupełnianie ubytków
Usuwanie kamienia nazębnego

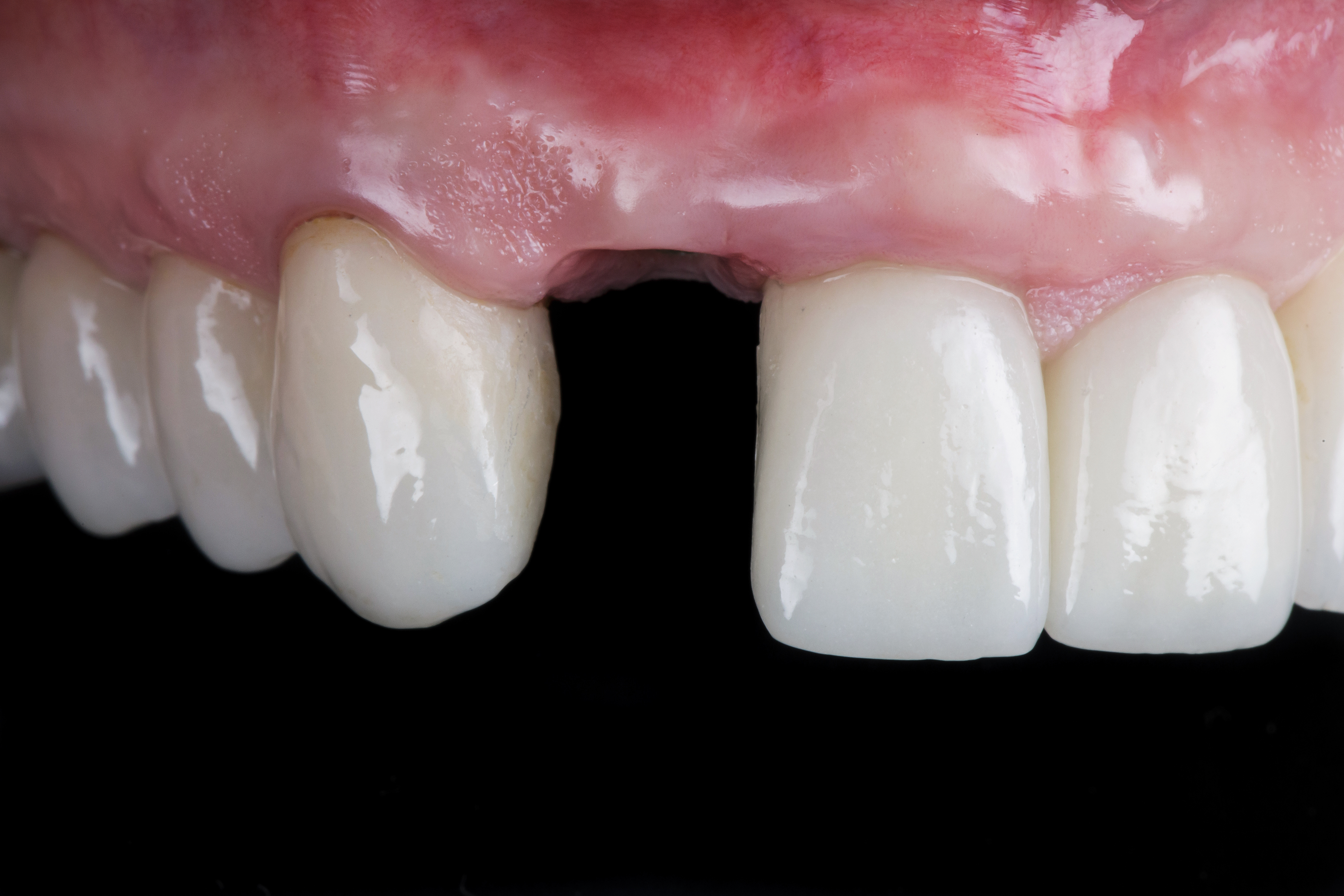
Co to jest implant stomatologiczny?

Implant stomatologiczny to metalowa śruba, która jest chirurgicznie umieszczana w szczęce lub żuchwie w miejsce brakującego zęba. Po zagojeniu, implant służy jako podstawa dla mocowania korony zębowej lub mostu, przywracając funkcję i estetykę naturalnego zęba. Implanty są wykonane z biokompatybilnych materiałów, takich jak tytan, co minimalizuje ryzyko odrzutu i zapewnia długotrwałe rezultaty.

Kiedy i dlaczego wybrać implanty stomatologiczne?

Implanty stomatologiczne są zalecane dla osób, które straciły jeden lub więcej zębów z różnych powodów, takich jak urazy, próchnica czy choroby przyzębia. Wybierając implanty, możesz odzyskać pełną funkcję zgryzu, poprawić zdolności żucia i mówienia, oraz przywrócić naturalny wygląd swojemu uśmiechowi. Implanty są również korzystne dla zdrowia jamy ustnej, ponieważ zapobiegają resorpcji kości, która może wystąpić po utracie zęba.

Ruszające się zęby
Usunięcie zęba

Zalety implantów stomatologicznych

Implanty stomatologiczne mają wiele zalet, które przekładają się na trwałe i satysfakcjonujące rezultaty. Jedną z głównych zalet jest ich trwałość - implanty mogą służyć przez wiele lat, jeśli są odpowiednio pielęgnowane. Ponadto, implanty nie wymagają ingerencji w sąsiednie zdrowe zęby, co jest korzystne dla ich integralności. Implanty zapewniają również stabilność i pewność siebie, umożliwiając normalne jedzenie, mówienie i uśmiechanie się.

Dowiedz się czy implanty są najlepszym rozwiązaniem dla Ciebie, zadzwoń lub umów się online